Restoring Smiles, Renewing Confidence – Trust Our Implant Expertise.
Dental implants represent a revolutionary advancement in the field of restorative dentistry, offering a durable and aesthetically pleasing solution for missing teeth. At Upasana Dental Clinic, we specialize in providing top-quality dental implants that not only restore functionality but also bring back the natural appearance of your smile. Implants are a preferred option for many because they closely mimic the look and feel of natural teeth, offering a permanent solution to tooth loss.
Our clinic is equipped with the latest technology in implant dentistry, and our experienced team is adept at handling a range of implant procedures, ensuring optimal results for our patients. Whether you have lost a single tooth or require a complete smile restoration, our dental implants provide a strong and reliable foundation for replacement teeth.
The dental implant procedure at our clinic involves:
Our team ensures that each step is carried out with precision and care, prioritizing patient comfort throughout the process.
At Upasana Dental Clinic, we offer various types of dental implants, including:
Each type of implant is chosen based on individual patient needs and bone structure.
Dental implants offer several advantages:
Choosing our clinic for dental implants ensures:
Choosing the right dental clinic for your needs is crucial. At Upasana Dental Clinic, we stand out for several reasons, making us a top choice for dental care in Kolkata.
Case Study 1: Rohan’s Implant for a Missing Tooth
Situation: Rohan, a 45-year-old journalist, had a missing back tooth affecting his chewing ability.
Action: An endosteal implant was placed, followed by a crown that matched his natural teeth.
Result: Rohan’s ability to chew improved significantly, and he was pleased with the natural look of the implant.
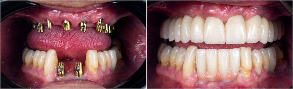
Case Study 2: Lakshmi’s Full Arch Restoration
Situation: Lakshmi, a 60-year-old retired teacher, had several missing teeth and was struggling with her old dentures.
Action: The clinic provided an All-on-4 implant solution, offering a permanent, screw-retained replacement for her missing teeth.
Result: Lakshmi was able to enjoy a full set of teeth again, improving her speech, chewing ability, and overall quality of life.
For a reliable, long-lasting solution to missing teeth, consider dental implants at Upasana Dental Clinic.
We invite you to experience the difference at Upasana Dental Clinic. Whether you need a routine check-up, are experiencing dental discomfort, or seeking cosmetic dental solutions, our team is ready to provide you with exceptional care.
Your oral health is our top priority, and we’re here to ensure your dental experience is as positive and pain-free as possible.
Your path to a healthy, confident smile begins with us!
Upasana Dental Clinic – Where Compassionate Care Meets Dental Excellence. Committed to providing the best dental services in Kolkata, we ensure every visit leaves you with a healthier and brighter smile.